Eine neue Perspektive für das Sprunggelenk
Vantage Sprunggelenk Merkmale und Vorteile
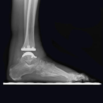
Anatomie
Basierend auf einer firmeneigenen CT-Rekonstruktions-studie wurde die tibiale Komponente so gestaltet, dass eine anatomische kortikale Abdeckung gewährleistet und die fibulare Artikulation ungehindert möglich ist.1,2 Während sich die kurvierte Talus-Komponente der trabekulären Knochenstruktur des Talus anpasst, um inhärente Stabilität zu erreichen, wird die primäre Stabilität bei der flach geschnittenen Talus-Komponente durch einen Press Fit Hohlzapfen und die peripheren Plasmazapfen gewährleistet.
Knochenresektion
Der Radius der Krümmung auf der Unterseite der Talarkomponente basiert auf Studien, die die Wirkung der Arthrose auf den Talus untersuchten. Das spezifische Design entspricht der krankheitsbedingten Oberflächenveränderung und kann so die erforderliche Menge an Talarresektion reduzieren.2

Vantage Sprunggelenk Ressourcen
- Valderrabano, V., Horisberger, M., Russell, I. et al. Etiology of ankle osteoarthritis. Clin Orthop Relat Res. 2009; 467: 1800. doi:10.1007/s11999-008-0543-6.
- Data available upon request, Inc.
- Gougoulias NE, Khanna A, Maffulli N. History and evolution in total ankle arthroplasty. British Medical Bulletin. 2009;89:111-51. Epub 2008 Nov 13. doi: 10.1093/bmb/ldn039.
- Roche C, et al. Effect of varying screw configuration and bone density on reverse shoulder glenoid fixation following cyclic loading. Transactions of the 54th Annual Orthopedic Research Society Meeting; 2008 Mar 2-5; San Francisco, CA.
- Siegler S, Toy J, Seale D, Pedowitz D. New observations on the morphology of the talar dome and its relationship to ankle kinematics. Clinical Biomechanics. 2014; 29:1-6.
Die auf dieser Webseite genannten Produkte werden von Exactech hergestellt und von Advita Ortho vertrieben.













